Skip to content
← Back to Issue

Different mannitol dosing strategies in traumatic brain injury: A CT- based analysis of mesencephalic cisternal compression and clinical outcomes

Mannitol dosing and cisternal status in TBI

Research Article DOI: 10.4328/ECAM.10133 Published: 25.10.2025 Eu Clin Anal Med 2025;13(Suppl 1):S6-10

Authors

Affiliations

1Department of Neurosurgery, School of Medicine, Gaziantep Islam Science and Technology University, Gaziantep, Turkey

2Department of Neurosurgery, School of Medicine, Dicle University, Diyarbakır, Turkey

Corresponding Author

Abstract

Aim This study investigated the relationship between mesencephalic cisternal status on cranial computed tomography (CT) and neurological outcomes in 50 patients with traumatic brain injury (TBI) treated with different 20% mannitol dosing regimens.
Materials and Methods Fifty adult TBI patients (≥17 years) were prospectively enrolled between June 2009 and June 2010. According to initial CT scans, patients were classified as having compressed (Group 1, n = 17), obliterated (Group 2, n = 17), or non-visualized (Group 3, n = 16) cisterns. All received intravenous 20% mannitol within or beyond the standard dosing range (0.25–2 g/kg/day). Neurological status was evaluated using the Glasgow Coma Scale (GCS) at admission, 12 hours, and 72 hours.
Results The cohort consisted of 43 males (86%) and 7 females (14%), with a mean age of 35.7 ± 15.8 years. Traffic accidents were the leading cause (74%), followed by falls (22%). Contusion (36%) was the most frequent CT finding, while severe TBI (GCS 3–8) was most common in Group 3 (56.3%, p < 0.05). All groups showed significant neurological improvement. Mean GCS increased from 11.05 ± 2.90 to 12.29 ± 3.23 in Group 1 (p < 0.001), from 9.64 ± 3.14 to 10.52 ± 3.14 in Group 2 (p = 0.011), and from 7.18 ± 2.71 to 8.81 ± 3.58 in Group 3 (p = 0.004). Patients in Group 1 (compressed cisterns) receiving the lowest dose regimen demonstrated the greatest recovery in GCS scores.
Discussion Mesencephalic cisternal status is a strong prognostic indicator in TBI. Lower-dose mannitol regimens were associated with the most favorable outcomes, supporting the potential role of individualized osmotherapy guided by radiological findings.

Keywords

traumatic brain injury mannitol computed tomography mesencephalic cisterns Glasgow Coma Scale intracranial pressure

Introduction

Traumatic brain injury (TBI) remains one of the most significant public health problems worldwide, with substantial medical, social, and economic implications. It is a leading cause of mortality and disability in young adults, particularly in individuals under the age of 45 in Europe and North America, and between the ages of 5 and 45 in many developing countries [1]. More than half of trauma-related deaths are attributable to head injuries, and even mild or moderate TBI can lead to long-term disability and reduced quality of life [1, 2, 3].
The socioeconomic burden of TBI is considerable. Apart from acute management costs, long-term rehabilitation and persistent neurological deficits contribute to major economic losses due to reduced productivity and lifelong care requirements [4, 5]. Young adults, being the most affected group, represent a particularly vulnerable population, as TBI often results in years of lost productivity and enduring morbidity [6, 7].
The clinical evaluation and prognostication of TBI have evolved significantly over the last five decades. Until the 1970s, the absence of standardized assessment tools limited the reliability of outcome evaluation [8, 9]. The introduction of standardized clinical assessment tools, such as the Glasgow Coma Scale (GCS) for evaluating the level of consciousness and the Glasgow Outcome Scale (GOS) for assessing long-term functional outcomes, has significantly improved the evaluation and prognostication of patients with traumatic brain injury [10, 11, 12]. These scales have enabled reliable multicenter studies and facilitated meaningful comparisons of mortality and prognosis across different cohorts.
Several clinical and radiological parameters have been identified as predictors of mortality and poor outcomes in TBI. Age, admission GCS score, and the status of basal cisterns on computed tomography (CT) are among the most robust prognostic indicators [13, 14]. Compression or obliteration of basal cisterns on CT scans reflects increased intracranial pressure and is strongly associated with poor clinical outcomes. The evaluation of mesencephalic cisterns, in particular, has been suggested as an important radiological marker for guiding treatment strategies and predicting survival [15, 16].
Osmotherapy, especially with mannitol, has long been a cornerstone in the management of elevated intracranial pressure following TBI. Mannitol acts by creating an osmotic gradient that reduces cerebral edema and improves cerebral perfusion. However, the optimal dosing strategies and the relationship between cisternal status on imaging and treatment response remain areas of ongoing investigation [17, 18]. While standard therapeutic ranges for 20% mannitol (0.25–2 g/kg/day) are widely used [17], dose adjustments based on radiological findings may provide valuable prognostic and therapeutic insights. Given that mesencephalic cisternal compression reflects intracranial pressure changes, linking mannitol dosing strategies to cisternal imaging status may help optimize individualized treatment approaches.
In this context, the present study aimed to evaluate the relationship between different dosing regimens of 20% mannitol and prognosis in adult TBI patients, according to the degree of mesencephalic cisternal compression observed on cranial CT scans. By correlating radiological findings with clinical outcomes, we sought to determine whether tailored osmotherapy could improve prognostic accuracy and therapeutic efficacy in severe head injury management.

Materials and Methods

Study Design and Patient Selection
A total of 50 adult patients (≥17 years) with traumatic brain injury (TBI) who were admitted between June 2009 and June 2010 were prospectively enrolled in this observational study. No randomization was performed in assigning patients to dose ranges; dosing decisions patients were required to be at least 17 years of age, demonstrate mesencephalic cisternal compression on initial cranial computed tomography (CT), have no surgical indication at admission, and provide informed consent. Patients were excluded if treatment had been initiated at another center or if they had contraindications to mannitol therapy, including anuria, advanced renal failure, or severe pulmonary congestion.
Group Classification
Patients were categorized into three groups based on the radiological appearance of the mesencephalic cisterns on cranial CT scans: Group 1: Compressed cisterns (n = 17), Group 2: Obliterated cisterns (n = 17), and Group 3: Non-visualized cisterns (n = 16).
At admission, demographic and clinical characteristics, including age, sex, weight, mechanism of trauma, presence of multiple system injuries, airway status, pupillary reactivity, and initial Glasgow Coma Scale (GCS) score, were recorded.
Radiological Assessment
Cranial CT imaging was performed using a Toshiba Xvision/GX scanner. All scans were obtained without contrast enhancement. Slice thickness was set at 5 mm for the posterior fossa and 10 mm for the supratentorial region, parallel to the orbitomeatal line. Evaluation of basal cisterns was performed according to the classification system originally proposed by Toutant et al. [19], which categorizes cisternal appearance as compressed, obliterated, or absent (Figure 1).
Mannitol Therapy
All patients received an intravenous 20% mannitol infusion. The administered doses were within or beyond the standard therapeutic range (0.25–2 g/kg/day), depending on the clinical and radiological status of each patient, and were individualized by the attending physician rather than applied through a fixed institutional protocol. The specific dose regimens applied to each group are summarized in Table 1, which presents the actual administered mean doses rather than planned therapeutic ranges. Follow-up CT scans were obtained at 12 and 72 hours after initiation of therapy, and changes in radiological findings as well as GCS scores were documented (Table 1).
Outcome Assessment
The primary clinical outcome was neurological status at 72 hours, assessed using the GCS. Patients’ outcomes were compared across treatment groups based on cisternal status and mannitol dosage.
Statistical Analysis
All statistical analyses were performed using IBM SPSS Statistics, version 15.0 (IBM Corp., Armonk, NY, USA). Continuous variables were expressed as mean ± standard deviation (SD), and categorical variables as frequencies and percentages. Normality was assessed with the Shapiro–Wilk test. Group comparisons were conducted using the Chi-square test for categorical variables and the Student’s t-test for continuous variables. A p-value of <0.05 was considered statistically significant.
Informed Consent
Written informed consent was obtained from all participants or their legal representatives. The study was performed in accordance with the principles of the Declaration of Helsinki.
Ethical Approval
This study was approved by the Ethics Committee of Dicle University, Faculty of Medicine, Diyarbakır, Türkiye (Date: 2009-06-11, No: 30.2.DIC.0.01.00.00/75).

Results

Demographic Characteristics
A total of 50 patients with traumatic brain injury were included in the study, comprising 43 males (86%) and 7 females (14%). Male predominance was significant across all three groups, consistent with previous epidemiological data on traumatic brain injury (p < 0.05 for all).
The mean age of the study cohort was 35.76 ± 15.78 years, with an age range of 18 to 84 years. The largest proportion of patients was between 18–30 years, representing 21 individuals (42%). Other age distributions were as follows: 13 patients (26%) were between 31–40 years, 7 patients (14%) between 41–50 years, 5 patients (10%) between 51–60 years, 3 patients (6%) between 61–70 years, and 1 patient (2%) was older than 80 years. Across all groups, the predominance of patients aged 18–30 years was statistically significant, with the highest proportion observed in Group 1 (Group 1: t = 5.065, p < 0.05; Group 2: t = 7.532, p < 0.05; Group 3: t = 7.293, p < 0.05).
Etiology of Trauma
Traffic accidents represented the leading cause of head trauma, observed in 37 patients (74%). Falls from height were the second most common cause, affecting 11 patients (22%). Assault and blunt object trauma were rare, reported in only two patients (4%). The distribution of trauma etiology was similar across the three groups, with traffic accidents showing a statistically significant predominance (p < 0.05). Multiple organ system injuries were identified in 23 patients (46%). Among these, abdominal trauma was the most frequent, occurring in 13 patients (26%), followed by thoracic trauma in 11 patients (22%), and orthopedic injuries in 10 patients (20%). Maxillofacial trauma was noted in 6 patients (12%). Multitrauma, defined as the involvement of more than one organ system, was present in 17 patients (34%). No statistically significant differences in the distribution of associated injuries were observed between the groups.
Clinical Characteristics
Airway Management
Emergency airway intervention was required in 13 patients (26%) overall. In Group 1, 2 of 17 patients (11.8%) required airway management, while 15 patients (88.2%) did not (χ² = 9.941, p < 0.05). In Group 2, 4 of 17 patients (23.5%) required intervention, compared to 13 patients (76.5%) who did not (χ² = 4.765, p<0.05). In Group 3, 7 of 16 patients (43.8%) required airway management, whereas 9 patients (56.3%) did not; however, this difference did not reach statistical significance (χ² = 0.250, p > 0.05).
Pupillary Light Reflex
At admission, 47 of 50 patients (94%) demonstrated normal pupillary responses, whereas 3 patients (6%) presented with bilateral pupillary dilation and absent light reflex. All three of these patients were in Group 3, and their outcomes were uniformly poor. This finding indicates that bilateral fixed pupils with absent light reflex are strongly associated with poor prognosis in severe traumatic brain injury.
Radiological Findings
Initial CT Findings
On admission, cranial CT, the most frequent lesion was cerebral contusion, observed in 36% of patients (n = 18), followed by traumatic subarachnoid hemorrhage in 22% (n = 11) and cerebral edema in 20% (n = 10). Less common findings included acute subdural hematoma (10%), intraventricular hemorrhage (6%), pneumocephalus (4%), and intracerebral hematoma (2%). Contusion was the most prominent radiological finding across all groups and reached statistical significance (Group 1: t = 6.419, p < 0.05; Group 2: t = 5.787, p < 0.05; Group 3: t = 7.004, p < 0.05) (Table 2).
Glasgow Coma Scale (GCS) Distribution
Based on the initial GCS, 12 patients (24%) presented with mild TBI (GCS 13–15), including 8 patients (47.1%) in Group 1, 4 patients (23.5%) in Group 2, and none in Group 3. Moderate TBI (GCS 9–12) was observed in 22 patients (44%), with 7 patients (41.2%) in Group 1, 8 patients (47.1%) in Group 2, and 7 patients (43.8%) in Group 3. Severe TBI (GCS 3–8) was present in 16 patients (32%), distributed as 2 patients (11.8%) in Group 1, 5 patients (29.4%) in Group 2, and 9 patients (56.3%) in Group 3. While no significant differences were noted between Groups 1 and 2 in the distribution of trauma severity (Group 1: χ² = 3.647, p > 0.05; Group 2: χ² = 1.529, p > 0.05), Group 3 had a significantly higher proportion of severe TBI cases (χ² = 6.118, p < 0.05) (Figure 2).
Neurological Outcomes
GCS Progression Over Time
Neurological status was assessed at admission, 12 hours, and 72 hours after treatment using the Glasgow Coma Scale (GCS). In Group 1, the mean GCS improved significantly from 11.05 ± 2.90 at admission to 12.29 ± 3.23 at 72 hours (t = -4.440, p = 0.001). Similarly, patients in Group 2 demonstrated an increase in mean GCS from 9.64 ± 3.14 at admission to 10.52 ± 3.14 at 72 hours (t = -2.867, p = 0.011). In Group 3, the mean GCS rose from 7.18 ± 2.71 at admission to 8.81 ± 3.58 at 72 hours (t = -3.372, p = 0.004). These findings indicate that all groups experienced statistically significant neurological improvement following mannitol therapy, with the most pronounced recovery observed in Group 1. Although significant neurological improvement was observed in all groups following mannitol therapy, the greatest recovery was noted in Group 1, which received the lowest dose regimen (Table 3, Figure 3).
Therapeutic Implications
Standard 20% mannitol therapy administered in different dose regimens was associated with significant neurological improvement across all cisternal compression groups. Group 1 patients, treated with a low-dose regimen (0.5 g/kg bolus over 15 minutes followed by 0.25 g/ kg/day maintenance every 4 hours), demonstrated the most favorable outcomes, highlighting the potential benefit of lower mannitol doses in selected cases.

Discussion

In this prospective study, we investigated the relationship between mesencephalic cisternal status on cranial CT and the effects of different 20% mannitol dosing regimens on neurological outcomes in patients with TBI. Our findings demonstrated that all groups experienced significant neurological improvement after mannitol therapy, with the most favorable recovery observed in patients with compressed cisterns (Group 1) who received a low-dose regimen. These results emphasize the prognostic importance of cisternal status and suggest that lower mannitol doses may be sufficient to achieve therapeutic benefit in selected cases.
Male predominance was evident in our cohort (86%), consistent with previous reports. Maas et al. reported that men are disproportionately affected by TBI due to greater exposure to high-risk activities and traffic accidents [2]. Mollayeva et al. emphasized that young adult males represent the largest at-risk group globally [20]. In line with these observations, our study also found that most patients were between 18–30 years of age, underlining the socioeconomic impact of TBI on young populations.
Traffic accidents were the leading cause of TBI in our study (74%), followed by falls (22%). These results are in agreement with Ahmed et al., who identified motor vehicle accidents as the predominant cause of severe TBI in developed and developing countries [21]. Wang et al. also reported that road traffic collisions significantly increase the risk of intracranial injuries compared to other mechanisms [22].
Initial CT findings in our cohort showed that cerebral contusion (36%), traumatic subarachnoid hemorrhage (22%), and cerebral edema (20%) were the most frequent radiological abnormalities. These findings are comparable to those of Karaboue et al., who observed that contusions and hemorrhagic lesions were the most common pathological findings in head-injured patients [23]. The presence of obliterated or non-visualized cisterns was strongly associated with poor outcomes, consistent with the work of Mostert et al., who demonstrated that basal cisternal compression or effacement was an ominous predictor of mortality [10].
In the current study, neurological assessment revealed significant improvement in GCS scores at 72 hours across all groups. Patients in Group 1, treated with a low-dose regimen (approximately 0.25–0.5 g/ kg/day), achieved the greatest improvement. Syahrul et al. showed that lower mannitol doses (0.25 g/kg) could be as effective as higher doses in reducing intracranial pressure [24]. Similarly, Kim et al. reported that moderate dosing (0.6 g/kg) provided clinical benefit in patients with subdural hematoma and contusion, without the risks associated with higher doses [25]. These findings suggest that lower doses may help avoid rebound intracranial pressure elevations and minimize renal or electrolyte disturbances, thereby maintaining hemodynamic stability while achieving comparable osmotic efficacy.
Recent meta-analyses comparing hyperosmolar agents have indicated that both mannitol and hypertonic saline effectively reduce intracranial pressure, though hypertonic saline may provide more sustained osmotic effects and hemodynamic stability in certain contexts [17, 18]. These findings support the need for individualized selection of hyperosmolar therapy based on patient condition and imaging features.
Another noteworthy result of our study is that patients with bilateral fixed pupils and absent light reflex, all of whom belonged to Group 3, had universally poor outcomes. This is in accordance with Syahrul et al., who found that bilateral pupillary abnormalities were strongly predictive of mortality in both pediatric and adult TBI populations [24]. Overall, our findings corroborate existing evidence that radiological markers, particularly mesencephalic cisternal status, are strong predictors of prognosis in TBI. Moreover, the results indicate that tailored osmotherapy, particularly the use of lower mannitol doses in patients with preserved cisternal structures, may offer a safer and equally effective alternative to higher-dose regimens.

Figures

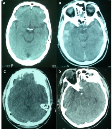
Figure 1

Figure 1. Representative cranial CT images demonstrating the status of the mesencephalic cisterns. A: Normal basal cisterns with preserved anatomical contours. B: Compressed cisterns, indicating increased intracranial pressure. C: Obliterated cisterns, reflecting severe cisternal narrowing. D: Non-visualized cisterns, consistent with complete effacement due to critical intracranial hypertension

Figure 2

Figure 2. Distribution of severe traumatic brain injury (GCS 3–8) across the three groups at admission

Figure 3

Figure 3. Comparison of mean Glasgow Coma Scale (GCS) scores at admission and at 72 hours among the three groups

Tables

Table 1. 20% mannitol therapy according to mesencephalic cisternal status

Table 1

Table 2. Initial CT findings

Table 2

SAH = subarachnoid hemorrhage; CT = computed tomography

Table 3. Comparison of admission and 72-hour Glasgow Coma Scale (GCS) values

Table 3

*: Paired t-test; GCS = Glasgow Coma Scale; SD = standard deviation

Limitations

This study has some limitations. First, the sample size was relatively small, comprising only 50 patients from a single tertiary care center, which may limit the generalizability of the findings to broader populations. Second, the follow-up period was restricted to 72 hours, and no functional outcome measures beyond the GCS were evaluated, limiting assessment of long-term recovery and functional prognosis; thus, long-term neurological outcomes and mortality could not be adequately assessed. Third, although patients were stratified by mesencephalic cisternal status, other radiological variables such as lesion volume, midline shift, and diffuse axonal injury were not systematically analyzed, which may have influenced prognosis. Fourth, the study did not evaluate potential adverse effects of mannitol therapy, such as electrolyte imbalance or renal dysfunction, which are important considerations in clinical practice. Finally, the absence of a randomized control group receiving standard care without mannitol restricts the ability to establish causal inferences regarding the observed neurological improvements. Additionally, serum osmolality and renal function parameters were not systematically monitored, which may have provided further insights into the safety aspects of mannitol therapy.

Conclusion

In conclusion, this study demonstrates that mesencephalic cisternal status on cranial CT is a strong prognostic marker in patients with traumatic brain injury. All groups exhibited significant neurological improvement following 20% mannitol therapy, but the most favorable recovery was observed in patients with compressed cisterns treated with a low-dose regimen. These findings suggest that individualized osmotherapy strategies, guided by radiological features, may optimize clinical outcomes while minimizing the risks associated with higher doses. Further large-scale, multicenter studies with extended follow- up are warranted to validate these results and to establish evidence- based guidelines for mannitol dosing in severe head injury.

Data Availability

The data supporting the findings of this article are available from the corresponding author upon reasonable request, due to privacy and ethical restrictions. The corresponding author has committed to share the de-identified data with qualified researchers after confirmation of the necessary ethical or institutional approvals. Requests for data access should be directed to bmp.eqco@gmail.com

References

  1. Yan J, Wang C, Sun B. Global, regional, and national burdens of traumatic brain injury from 1990 to 2021. Front Public Health. 2025;13(4):1556147.
  2. Maas AIR, Menon DK, Adelson PD, et al. Traumatic brain injury: integrated approaches to improve prevention, clinical care, and research. Lancet Neurol. 2017;16(12):987-1048.
  3. Manley GT, Dams-O’Connor K, Alosco ML, et al. A new characterisation of acute traumatic brain injury: the NIH-NINDS TBI classification and nomenclature initiative. Lancet Neurol. 2025;24(6):512-23.
  4. Wilson L, Stewart W, Dams-O’Connor K, et al. The chronic and evolving neurological consequences of traumatic brain injury. Lancet Neurol. 2017;16(10):813-25.
  5. Silva MA, Hoffman JM, O’Neil-Pirozzi TM, et al. Environmental barriers are associated with rehabilitation needs 10 to 15 years after traumatic brain injury: a Veterans Affairs TBI Model Systems study. J Head Trauma Rehabil. 2025;40(2):125-36.
  6. Haarbauer-Krupa J, Pugh MJ, Prager EM, Harmon N, Wolfe J, Yaffe K. Epidemiology of chronic effects of traumatic brain injury. J Neurotrauma. 2021;38(23):3235-47.
  7. Dams-O’Connor K, Juengst SB, Bogner J, et al. Traumatic brain injury as a chronic disease: insights from the United States Traumatic Brain Injury Model Systems Research Program. Lancet Neurol. 2023;22(6):517-28.
  8. Bigler ED, Allder S, Victoroff J. What traditional neuropsychological assessment got wrong about mild traumatic brain injury. II: limitations in test development, research design, statistical, and psychometric issues. Brain Inj. 2024;38(13):1053-74.
  9. Kennedy E, Ozmen M, Bouldin ED, et al. Phenotyping depression after mild traumatic brain injury: evaluating the impact of multiple injury, gender, and injury context. J Neurotrauma. 2024;41(7-8):924-33.
  10. Mostert CQB, Singh RD, Gerritsen M, et al. Long-term outcome after severe traumatic brain injury: a systematic literature review. Acta Neurochir (Wien). 2022;164(3):599-613.
  11. Yamal JM, Hannay HJ, Gopinath S, Aisiku IP, Benoit JS, Robertson CS. Glasgow Outcome Scale measures and impact on analysis and results of a randomized clinical trial of severe traumatic brain injury. J Neurotrauma. 2019;36(17):2484-92.
  12. Rubin ML, Yamal JM, Chan W, Robertson CS. Prognosis of six-month Glasgow Outcome Scale in severe traumatic brain injury using hospital admission characteristics, injury severity characteristics, and physiological monitoring during the first day post-injury. J Neurotrauma. 2019;36(16):2417-22.
  13. Naeimi A, Aghajanian S, Jafarabady K, et al. Prognostic value of computed tomography and magnetic resonance imaging findings in acute traumatic brain injury in prediction of poor neurological outcome and mortality: a systematic review and meta-analysis. Neurosurg Rev. 2024;47(1):837.
  14. Khaki D, Hietanen V, Corell A, Herges HO, Ljungqvist J. Selection of CT variables and prognostic models for outcome prediction in patients with traumatic brain injury. Scand J Trauma Resusc Emerg Med. 2021;29(1):94.
  15. Hilario A, Salvador E, Chen ZH, Cárdenas A, Romero J, Ramos A. Imaging findings for severe traumatic brain injury. Radiologia (Engl Ed). 2025;67(3):331-42.
  16. Kashkoush AI, Potter T, Petitt JC, Hu S, Hunter K, Kelly ML. Novel application of the Rotterdam CT score in the prediction of intracranial hypertension following severe traumatic brain injury. J Neurosurg. 2023;138(4):1050-7.
  17. Huang X, Yang L, Ye J, He S, Wang B. Equimolar doses of hypertonic agents (saline or mannitol) in the treatment of intracranial hypertension after severe traumatic brain injury. Medicine (Baltimore). 2020;99(38):e22004.
  18. Bernini A, Miroz J-P, Abed-Maillard S, et al. Hypertonic lactate for the treatment of intracranial hypertension in patients with acute brain injury. Sci Rep. 2022;12(1):3035.
  19. Toutant SM, Klauber MR, Marshall LF, et al. Absent or compressed basal cisterns on first CT scan: ominous predictors of outcome in severe head injury. J Neurosurg. 1984;61(4):691-4.
  20. Mollayeva T, Mollayeva S, Colantonio A. Traumatic brain injury: sex, gender, and intersecting vulnerabilities. Nat Rev Neurol. 2018;14(12):711-22.
  21. Ahmed SK, Mohammed MG, Abdulqadir SO, et al. Road traffic accidental injuries and deaths: A neglected global health issue. Health Sci Rep. 2023;6(5):e1240.
  22. Wang Y. Global, regional, and national burdens of traumatic brain injury, spinal cord injury, and skull fracture and their attributable risk factors from 1990 to 2021: a systematic analysis of the global burden of disease study 2021. Front Public Health. 2025;13:1622693.
  23. Karaboue MAA, Ministeri F, Sessa F, et al. Traumatic brain injury as a public health issue: epidemiology, prognostic factors, and useful data from forensic practice. Healthcare (Basel). 2024;12(22):2266.
  24. Syahrul S, Musadir N, Hidayaturrahmi H, Suryadi T, Syahrul AN. Effectiveness of mannitol use on clinical outcomes of severe traumatic brain injury patients. F1000Res. 2024;13:548.
  25. Kim JH, Jeong H, Choo Y-H, et al. Optimizing mannitol use in managing increased intracranial pressure: a comprehensive review of recent research and clinical experiences. Korean J Neurotrauma. 2023;19(2):162-76.

Scientific Responsibility Statement

The authors declare that they are responsible for the article’s scientific content, including study design, data collection, analysis and interpretation, writing, and some of the main line, or all of the preparation and scientific review of the contents, and approval of the final version of the article.

Animal and Human Rights Statement

All procedures performed in this study were in accordance with the ethical standards of the institutional and/or national research committee and with the 1964 Helsinki Declaration and its later amendments or comparable ethical standards.

Funding

None

Conflict of Interest

The authors declare that there is no conflict of interest.

Ethics Declarations

This study was approved by the Ethics Committee of Dicle University, Faculty of Medicine (Date: 2009-06-11, No: 30.2.DIC.0.01.00.00/75)

Additional Information

Publisher’s Note
Bayrakol MP remains neutral with regard to jurisdictional and institutional claims.

Rights and Permissions

Creative Commons License

This work is licensed under a Creative Commons Attribution-NonCommercial 4.0 International License (CC BY-NC 4.0). To view a copy of the license, visit https://creativecommons.org/licenses/by-nc/4.0/

About This Article

How to Cite This Article

Yucel Duzenli, Adnan Ceviz. Different mannitol dosing strategies in traumatic brain injury: A CT-based analysis of mesencephalic cisternal compression and clinical outcomes. Eu Clin Anal Med 2025;13(Suppl 1):S6-10

Publication History

Received:
September 19, 2025
Accepted:
October 20, 2025
Published Online:
October 24, 2025
Printed:
October 25, 2025