Skip to content
← Back to Issue

Severe abdominal pain in the emergency department: A case of diabetic gastroparesis

Diabetic gastroparesis: A case presentation

Case Report doi:10.4328/ECAM.10112 Published: 01.05.2025 Eu Clin Anal Med 2025;13(2):50-52

Authors

Affiliations

1Department of Family Medicine, Özcan Çalıkuşu Family Health Center, Konya, Türkiye.

2Department of General Surgery, Faculty of Medicine, Necmettin Erbakan University, Konya, Türkiye.

Corresponding Author

Abstract

IntroductionDiabetic gastroparesis is a form of autonomic neuropathy, which is one of the complications of diabetes. Although not frequently seen, it is a significant condition that severely impacts the quality of life.
Case PresentationThe variety and severity of symptoms can differ from patient to patient, and the response to treatment may also vary. In particular, in elderly patients, those with long-standing diabetes, and those with inadequate glycemic control, symptoms such as weight loss, anorexia, early satiety, abdominal pain, nausea, and vomiting should raise suspicion for gastroparesis.
ConclusionIn this article, we present a case of a 64-year-old patient with type 2 diabetes whose underlying cause of severe abdominal pain was diabetic gastroparesis.

Keywords

diabetic gastroparesis complication abdominal pain

Introduction

Gastroparesis is a chronic neuromuscular upper gastrointestinal system disorder characterized by delayed gastric emptying due to impaired motility. It is a form of autonomic neuropathy with no mechanical obstruction. This condition, which can occur as a complication of diabetes, is associated with poorly controlled diabetes and contributes to about one-third of all gastroparesis cases. Gastroparesis is more common in patients with type 1 diabetes compared to those with type 2 diabetes. Additionally, patients with long-standing diabetes have a higher risk for gastroparesis, and 50-76% of diabetic patients exhibit abnormal digestive motility.1
Gastroparesis is generally seen in diabetic patients who have developed other microvascular complications. Therefore, it may be an indicator of a higher risk for other diabetes-related complications. For example, diabetic patients with gastroparesis symptoms have a higher likelihood of developing cardiovascular disease, hypertension, and retinopathy compared to those without gastroparesis symptoms. Once symptoms of gastroparesis begin, they tend to persist for many years, even if blood glucose levels are controlled.2
The symptoms of diabetic gastroparesis can range from mild to severe, and they may lead to functional impairment. Due to the broad spectrum of symptoms and the fact that some patients, particularly in the early stages, may be asymptomatic, diagnosing this condition can be challenging.3 Diabetic gastroparesis may present with early satiety, anorexia, abdominal pain, bloating, nausea, and vomiting.1 In this article, we present the case of a 64-year-old woman with type 2 diabetes, hypertension, and atrial fibrillation, whose severe abdominal pain was caused by diabetic gastroparesis.

Case Presentation

A 64-year-old female patient with 25 years of type 2 diabetes presented to the emergency department with complaints of severe abdominal pain and bloating. The patient had a medical history of diabetes, hypertension, and atrial fibrillation (AF). Recent weight loss was also noted. On abdominal examination, there was generalized tenderness and distention. There was no rebound tenderness, guarding, or signs of peritonitis. Other system examinations were regular. Laboratory tests and imaging were performed to rule out acute conditions such as acute myocardial infarction, appendicitis, mesenteric ischemia, and ileus. The laboratory results, including blood tests, urine analysis, and upright abdominal X-ray, were expected. A two-view chest X-ray showed no signs of lower lobe pneumonia.
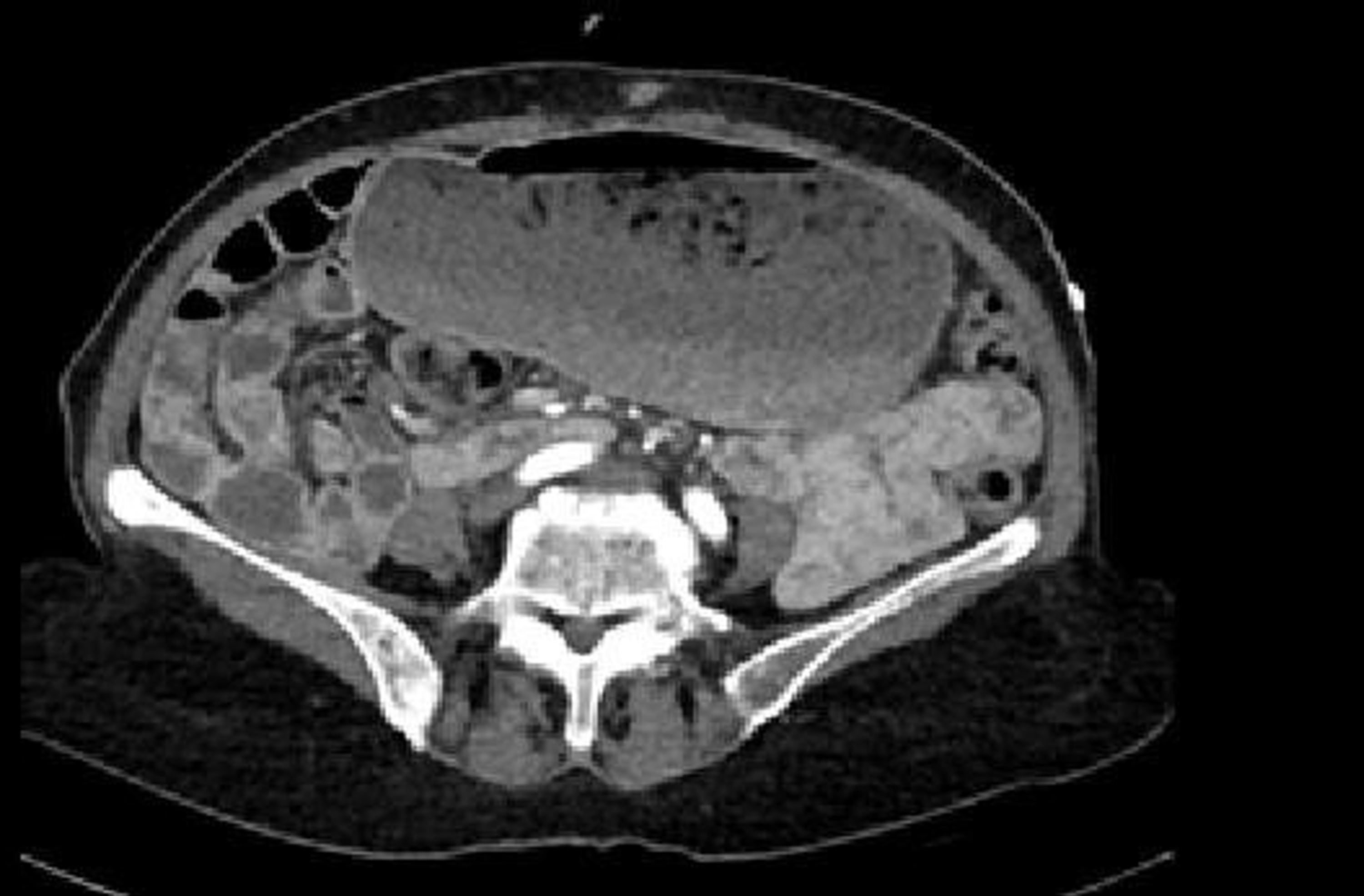
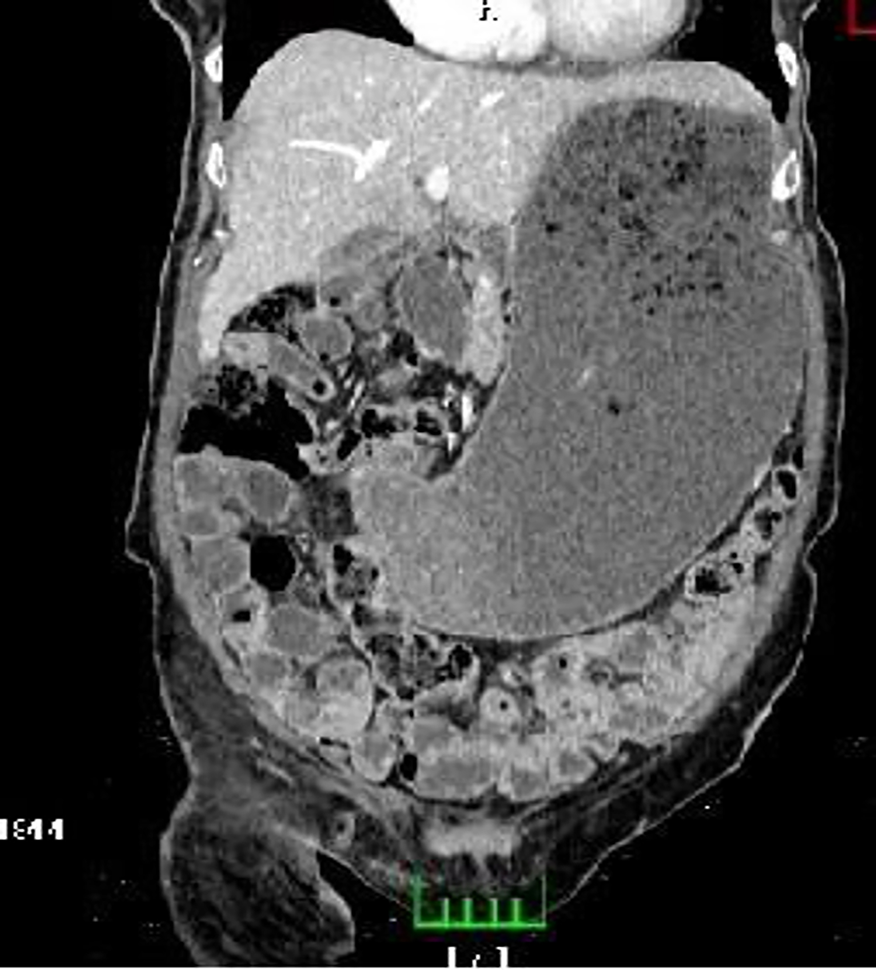
Abdominal CT angiography revealed no thrombus or ischemic findings in the vessels or intestines, but the stomach was distended with dense content (Figure 1, Figure 2). The stomach appeared to be in a hypotonic state, and its size extended to the pelvis. Diabetic gastroparesis was suspected, and the patient was admitted to the general surgery ward for treatment and follow-up.
Hospital Follow-up: Oral intake was discontinued, and a nasogastric (NG) tube was inserted. Intravenous isotonic fluids were administered. 30 mg of metoclopramide was started. Due to the patient’s diabetes and lack of oral intake, close blood glucose monitoring was performed. A daily 500 cc of solid gastric contents was drained from the NG tube. Since infection parameters were elevated, empirical antibiotic therapy with third-generation cephalosporins was started. Oral contrast was administered, and abdominal dynamic contrast imaging (ADBG) was performed at 0 and 4 hours (Figure 3). The contrast was seen in the progress to the colon. After the NG output decreased to under 100 cc, the tube was removed on the third day of hospitalization. With a decrease in symptoms, oral intake of liquids was initiated on the fourth day. Solid foods were introduced two days later as the patient tolerated liquid food, and abdominal pain improved. The patient was discharged on the sixth day with recommendations to continue 30 mg of metoclopramide daily and to increase meal frequency.
Ethical ApprovalEthics committee approval was not required for this case report according to institutional policies.
Reporting GuidelinesThis case is reported in accordance with the CARE guidelines.

Discussion

Although diabetic gastroparesis cases are not commonly reported in the literature, several cases have been documented. The development of symptoms, severity, and clinical course of the condition varies between patients.
A case reported by Vesely et al. involved a 19-year-old patient with a 6-year history of type 1 diabetes, presenting with diarrhea and weight loss.4 Another case involved a 21 year-old patient with a 10-year history of type 1 diabetes presented with vomiting, diarrhea, fatigue, and anorexia and had inadequate blood glucose control.5 A 54-year-old woman with a 13-year history of type 2 diabetes presented with early satiety, bloating, nausea, and weight loss over the last two to three months.6 A case reported by Gooden and Takahashi described an 87-year-old nursing home patient with a 9-year history of diabetes who developed aphasia, hemiplegia, seizures, and dysphagia after a subarachnoid hemorrhage and was being fed via a percutaneous gastric tube (PEG).7
In the case we present, a 64-year-old woman with 25 years of type 2 diabetes presented with severe abdominal pain and bloating. When looking at the duration of diabetes in the reported cases, the shortest duration was 9 years, which aligns with the information in the literature that diabetic gastroparesis is more common in patients with long- standing diabetes.
In one case, a barium study showed a decreased gastric emptying rate and gastric dilation.4 In another, a barium radiologic examination revealed the absence of esophageal peristalsis, gastric dilation, and solid food remnants.5 In a case reported by Tonzi et al., after no improvement with frequent and small meals, an endoscopy was performed, revealing an incompetent lower esophageal sphincter and undigested food particles in the stomach, leading to the diagnosis of diabetic gastroparesis. In our case, abdominal CT angiography showed a distended abdomen with dense content, and no further tests were performed since gastroparesis was suspected based on the CT findings. Dynamic contrast imaging was used to observe the progression of contrast through the gastrointestinal system.
Metoclopramide was used for treatment in three reported cases, with positive responses. In one case, the patient reported feeling tired, sleepy, and depressed, leading to the discontinuation of metoclopra- mide and the initiation of 80 mg/day of erythromycin, which proved effective.6 In the case reported by Gooden and Takahashi, metoclo- pramide was effective initially, but gastric emptying problems recurred, and mirtazapine (15 mg/night) was added.7 In our case, metoclopra- mide (30 mg/day) effectively alleviated the patient’s symptoms.

Limitations

This case report presents a single patient with diabetic gastroparesis, which may limit the generalizability of the findings. Due to the nature of the case report, it does not provide statistical data or large-scale comparative analysis. Additionally, the long-term follow-up of the patient was not included, and the potential for recurrence or further complications could not be fully assessed. Additional research with larger patient populations and long-term monitoring would be necessary to understand better the full spectrum of diabetic gastroparesis and its management.

Conclusion

Diabetic gastroparesis is a relatively rare but significant complication of diabetes that severely impacts quality of life. If other symptoms or diagnoses of autonomic neuropathy are present, gastroparesis should be considered as one of the neuropathic complications.
Unfortunately, after its onset, while symptoms often improve with treatment, they rarely.
Resolve completely, requiring periodic monitoring. Early diagnosis and interventions to halt progression are crucial.

Declarations

Ethics Declarations

Written informed consent was obtained from the patient for publication of this case report and the accompanying images. The study was conducted in accordance with the ethical principles of the Declaration of Helsinki.

Animal and Human Rights Statement

All procedures performed in this study were in accordance with the ethical standards of the institutional and/or national research committee and with the 1964 Helsinki Declaration and its later amendments or compareable ethical standards.

Data Availability

The data supporting the findings of this article are available from the corresponding author upon reasonable request, due to privacy and ethical restrictions. The corresponding author has committed to share the de-identified data with qualified researchers after confirmation of the necessary ethical or institutional approvals. Requests for data access should be directed to bmp.eqco@gmail.com

Conflict of Interest

The authors declare that there is no conflict of interest.

Funding

None.

Scientific Responsibility Statement

The authors declare that they are responsible for the article’s scientific content including study design, data collection, analysis and interpretation, writing, some of the main line, or all of the preparation and scientific review of the contents and approval of the final version of the article.

References

  1. Uppaluri S, Jain MA, Ali H, Shingala J, Amin D, Ajwani T, et al. Pathogenesis and manage- ment of diabetic gastroparesis: An updated clinically oriented review. Diabetes Metab Syndr. 2024;18(3):102994.
  2. Zahid SA, Tated R, Mathew M, Rajkumar D, Karnik SB, Roy AP, et al. Diabetic gastropa- resis and its emerging therapeutic options: A narrative review of the literature. Cureus. 2023:15(9):e44870.
  3. Kim SW, Shin IS, Kim JM, Kang HC, Mun JU, Yang SJ, et al. Mirtazapine for severe gastropa- resis unresponsive to conventional prokinetic treatment. Psychosomatics. 2006;47(5):440-442.
  4. Vesely DL, Mazurek GH, Boyd CM. Case report: Diabetic gastroparesis, immense weight loss and diarrhea without steatorrhea. Am J Med Sci. 1987;293(4):255-260.
  5. Kovačič P, Jamar B. Gastroparesis in a young diabetic patient-case report. Radiol Oncol. 2002;36(2):91-94.
  6. Tonzi MK, Fain JA. Understanding diabetic gastroparesis: A case study. Gastroenterol Nurs. 2002;25(4):154-160.
  7. Gooden JY, Takahashi PY. Mirtazapine treatment of diabetic gastroparesis as a novel meth- od to reduce tube-feed residual: A case report. J Med Case Rep. 2013;7:38.

Figures

Figure 1

Figure 1. Transverse plane of the stomach on abdominal CT

Figure 2

Figure 2. Coronal plane of the stomach on abdominal CT

Figure 3

Figure 3. Direct radiography image at 0., 1. and 4. hours after oral contrast

Additional Information

Publisher’s Note
Bayrakol MP remains neutral with regard to jurisdictional and institutional claims.

Rights and Permissions

Creative Commons License

This work is licensed under a Creative Commons Attribution-NonCommercial 4.0 International License (CC BY-NC 4.0). To view a copy of the license, visit https://creativecommons.org/licenses/by-nc/4.0/

About This Article

How to Cite This Article

How to cite this article: Hayriye Şentürk, Mustafa Şentürk. Severe abdominal pain in the emergency department: A case of diabetic gastroparesis. Eu Clin Anal Med 2025;13(2):50-52

Received:
February 19, 2025
Accepted:
April 16, 2025
Published Online:
April 28, 2025
Printed:
May 1, 2025