Skip to content
← Back to Issue

Hook plate in articular fracture of medial clavicle: A Case Report

Hook plate in medial clavicle fracture

Case Report doi:10.4328/ECAM.10051 Published: 01.01.2024 Eu Clin Anal Med 2024;12(1):9-11

Authors

Affiliations

1Department of Orthopedics and Traumatology, Coromoto Hospital, Maracaibo, Zulia, Venezuela.

2Department of Orthopedics and Traumatology, Hospital General del Sur “Dr. Pedro Iturbe”, Maracaibo, Venezuela.

Corresponding Author

Fernando Lossada Finol

fmlf73@gmail.com

Abstract

IntroductionMedial clavicle fracture is a rare pathology, which has been related to associated injuries that require surgical resolution for immediate reduction and stabilization.
Case PresentationIn the supine position, using an anterior approach to the right sternoclavicular joint with an incision of approximately 10 cm, the cephalic portion of the clavicle, the clavicular fascicle of the sternocleidomastoid and the medial insertion of the pectoralis major are disinserted from the lower clavicular border. Articular fracture of the displaced right medial clavicle was evidenced; after cleaning the focus, an anatomical reduction of the fracture was performed with Weber forceps and a 3.5 mm hook plate was placed, its location was verified under fluoroscope. It was closed by planes to the skin and an immobilization type sling was placed.
ConclusionSurgical treatment with a hook plate shows good results in the reduction and stabilization of this pathology.

Keywords

clavicle joint fracture hook plate anatomical reduction

Introduction

Medial clavicle fractures occur most often in men in their third to fifth decades of life,1 they are associated with high-energy trauma, multisystem injury, and death.2 It is essential to perform a good clinical examination for the presence of in search of other associated injuries (rib fractures, pulmonary contusion, sternoclavicular dislocation, cervical trauma, among others). The symptomatology of patients with medial clavicle fracture ranges froma deformity over the sternoclavicular joint to functional limitation. For this reason, imaging studies should be essential for the diagnosis and assessment of to assess the different bone, muscle, ligament and neurovascular structures in relation to this fracture.
Among the radiological projections that can guide the diagnosis and treatment of to be applied in clavicle articular fractures, is the anteroposterior chest radiography that allows us to confirm on corroborate with the contralateral side if there is the presence of any fracture pathology associated with sternoclavicular dislocation. On the other hand, special projections such as Serendipity and Hobbs, in which the direction or displacement of the fracture is observed and if there is the presence of sternoclavicular dislocation or any other bone lesion are observed.
For the diagnosis of this pathology, tomographic and nuclear magnetic resonance studies are useful imaging techniques to rule out other fractures or dislocations and even the presence of sternoclavicular subluxation.3,4 Conservative treatment has been used for these fractures due to the relationship of important structures and thus avoid intraoperative complications were avoided.
However, when conservative treatment of these fractures is unsuccessful with closed reduction or in the presence of when instability, recurrent pain or significant displacement is present, immediate surgical treatment is indicated for reduction and stabilization of the fracture.
For the stabilization of medial clavicle fractures, there are different techniques ranging from the placement of K-wire fixation systems to osteosynthesis with hook plates, among others.4,5

Case Presentation

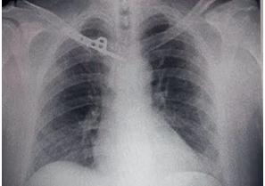
43-year-old male patient, with no significant history, who after a motorcycle traffic accident, presented trauma to the posterior region of the right shoulder, presented pain, increased volume, functional limitation and deformity in the right sternoclavicular region for 4 days. Upon physical examination, there were no signs of vascular injury or respiratory distress, and no nor deformity in the posterior shoulder region with no signs of phlogosis. Imaging studies were evaluated based on anteroposterior chest X-ray, which showed (Figure 1) a fracture in the medial third of the clavicle with a simple displaced articular trace. The Constant score was applied, according to which where pain, current and active mobility and power were evaluated with a result of 24 points (bad).
Surgical Procedure The patient was in the supine decubitus position, under general anesthesia, prior asepsis and antisepsis, and placement of sterile fields. An anterior approach is was made to the sternoclavicular joint with a longitudinal incision from the medial edge of the sternum to the middle third of it, approximately 10 centimeters (Figure 2), dissection is was performed by planes (skin, subcutaneous cellular tissue) until evidencing the articular fracture of the displaced right medial clavicle was evidenced.
Then, the clavicular fascicle of the sternocleidomastoid wasis disinserted in the cephalic portion of the medial clavicle, as well as in the inferior border of the medial insertion of the pectoralis major, exposing the focus of the fracture.
After locating the focus of the fracture, the fracture was simplified with Weber reduction forceps, a hole was made in the thickness of the sternal manubrium, where the hook plate was placed preventing anterior and posterior migration, the anatomical reduction was performed.
The horizontal portion of the hook was visualized and manually inserted in its entirety and placed intrasternally, fixing and stabilizing the fracture with 3 screws (1 x 20 mm and 2 x 22 mm) of 3.5 mm cortical screws.
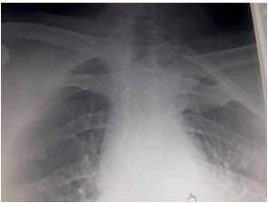
It is was closed by planes until it reacheds the skin, a control x-ray is was performed, where a reduction of the fracture and good positioning of the plate is observed (Figure 3). The patient is was immobilized for 3 weeks with a sling. After 12 weeks later, the Constant score is applied and a score of 85 (excellent) is obtained. Subsequently, at 12 weeks, the hook plate is was removed in a second operation.
Ethical ApprovalEthics committee approval was not required for this case report.
Statistical AnalysisNo statistical analysis was performed.
Reporting GuidelinesThis case is reported in accordance with the CARE guidelines.

Discussion

Surgical treatment of these lesions providespresents good functional results and reduces the risk of complications, as proposed by Feng et al.6 and Wurm et al.7 Therefore, in this study, the medial clavicle fracture was broken surgically due to displacementbecause it was displaced, which was accompanied by severe pain in the sternoclavicular joint and functional limitation for in an active patient. The Oopen reduction and placement of the hook plate in this study made it possible to reduce the focus of the fracture and at the same time stabilize its displacement, which is in agreement with the results of the study by Feng et al.,6 who obtained satisfactory clinical results in the placement of the hook plate in medial clavicle fractures, without any complications. In addition, Feng et al.,8 reported that plate placement is a safe and effective treatment for displaced clavicle fractures, as well as for acute and chronic injuries. Frima, Houwert and Sommer report that treatment with well-configured “small fragment” locking plates provides excellent long-term functional results in displaced medial clavicle fractures.4 Feng et al.,8 state that this type of treatment requires a well-trained surgeon to avoid damaginge to the retrosternal structure during plate placement. Therefore, the possibility of presenting complications with this type of implant is not excluded, but its removal is suggested to avoid complications.

Conclusion

Articular fracture of medial clavicle rarely occurs infrequently in association with high-energy trauma. When conservative treatment is indicated or fails, this fracture warrants immediate resolution in order to reduce associated injuries and possible subsequent complications that may occur. Patients with articular fracture of medial clavicle manifest significant clinical manifestations that sometimes involve other injuries to related bone, muscle and neurovascular structures. Surgical treatment with a hook plate presents good results in the reduction and stabilization of this pathology, as well as functionally, so the use of a hook plate is a reliable surgical option for the surgical treatment of articular fracture of medial clavicle.

Declarations

Ethics Declarations

Written informed consent was obtained from the patient for publication of this case report.

Animal and Human Rights Statement

All procedures performed in this study were in accordance with the ethical standards of the institutional and/or national research committee and with the 1964 Helsinki Declaration and its later amendments or comparable ethical standards.

Informed Consent

Written informed consent was obtained from the patient for publication of this case report and the accompanying images.

Data Availability

The data supporting the findings of this article are available from the corresponding author upon reasonable request, due to privacy and ethical restrictions. The corresponding author has committed to share the de-identified data with qualified researchers after confirmation of the necessary ethical or institutional approvals. Requests for data access should be directed to bmp.eqco@gmail.com

Conflict of Interest

None of the authors received any type of financial support that could be considered potential conflict of interest regarding the manuscript or its submission.

Funding

None.

Scientific Responsibility Statement

The authors declare that they are responsible for the article’s scientific content including study design, data collection, analysis and interpretation, writing, some of the main line, or all of the preparation and scientific review of the contents and approval of the final version of the article.

References

  1. Asadollahi S, Bucknill A. Acute medial clavicle fracture in adults: a systematic review of demographics, clinical features and treatment outcomes in 220 patients. J Orthop Traumatol. 2019;28;20(1):24.
  2. Bakir MS, Unterkofler J, Hönning A, Haralambiev L, Kim S, Ekkernkamp A, et al Shoulder girdle injuries involving the medial clavicle differ from lateral clavicle injuries with a focus on concomitant injuries and management strategies: A retrospective study based on nationwide routine data. PLoS One. 2019;25;14(10):e0224370.
  3. Liu H, Peng C, Zhang Z, Yuan B, Ren G, Yu J, Wu D. Single-center experience in the treatment of extremely medial clavicle fractures with vertical fixation of double-plate: A retrospective study. Medicine (Baltimore). 2020;99(14):e19605.
  4. Frima, H., Houwert, R.M,. & Sommer, C. Displaced medial clavicle fractures: operative treatment with locking compression plate fixation. Eur J Trauma Emerg Surg. 2020;46:207-213.
  5. Kang LX, Faulkner HJ, Howard WH, Low AK. Displaced medial clavicle fractures: a systematic review of outcomes after nonoperative and operative management. JSES Int. 2022;15:7(1): 79-85.
  6. Feng D, Yang Y, Kang X, Heng L, Zhang J, Zhu Y. Extra-articular locking plate and trans- articular clavicle hook plate for displaced medial clavicle fractures. Injury. 2023;18:S0020-1383(23):00279-6.
  7. Wurm M, Siebenlist S, Zyskowski M, Pflüger P, Biberthaler P, Beirer M, Kirchhoff C. Excellent clinical and radiological outcome following locking compression plate fixation of displaced medial clavicle fractures. BMC Musculoskelet Disord. 2021;27:22(1):905.
  8. Feng WL, Cai X, Li SH, Li ZJ, Zhang K, Wang H, Zhang J, Zhu YJ, Feng DX. Balser Plate Stabilization for Traumatic Sternoclavicular Instabilities or Medial Clavicle Fractures: A Case Series and Literature Review. Orthop Surg. 2020;12(6):1627-1634.

Figures

Figure 1

Figure 1. X-ray showing displaced right medial clavicle joint fracture.

Figure 2

Figure 2. Longitudinal incision from the medial edge of the sternum to the middle third of it, approximately 10 centimeters.

Figure 3

Figure 3. Reduction of the fracture and good positioning of the plate.

Additional Information

Publisher’s Note
Bayrakol MP remains neutral with regard to jurisdictional and institutional claims.

Rights and Permissions

Creative Commons License

This work is licensed under a Creative Commons Attribution-NonCommercial 4.0 International License (CC BY-NC 4.0). To view a copy of the license, visit https://creativecommons.org/licenses/by-nc/4.0/

About This Article

How to Cite This Article

Fernando Lossada Finol, Julio Carruyo Avila. Hook plate in articular fracture of medial clavicle. Eu Clin Anal Med 2024;12(1):9-11

Received:
July 17, 2023
Accepted:
October 20, 2023
Published Online:
December 23, 2023
Printed:
January 1, 2024